Macular Hole
Macular Hole
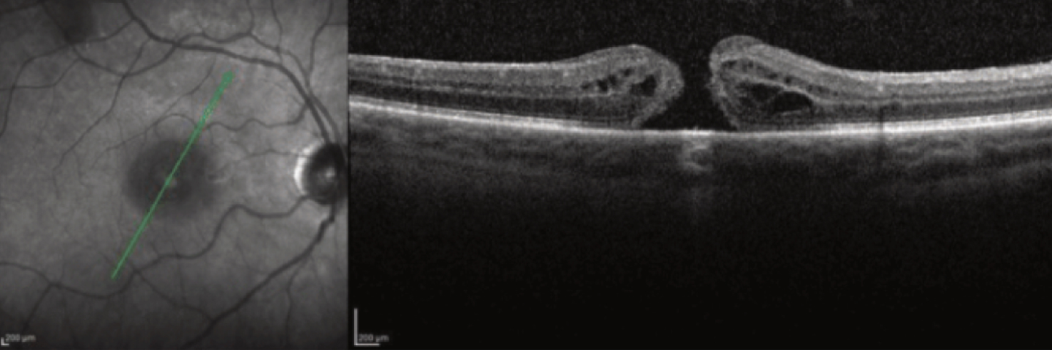
A macular hole is a full-thickness tissue defect that produces a gray or black spot in the macula. The macula is a small area in the center of the retina that is responsible for straight-ahead or focused vision. The very center of the macula is also the thinnest part of the retina, making it susceptible to holes, particularly as a person ages.
Although a macular hole may gradually enlarge, peripheral vision remains, and straight-ahead vision is almost never completely lost. Most macular holes develop as a result of the vitreous gel pulling on the delicate macular tissue. Unlike tears in the peripheral retina, a macular hole does not typically lead to retinal detachment.
Once a macular hole forms in one eye, the risk of one developing in the other eye may be as high as 10 or 15 percent. An examination and periodic monitoring are recommended.